Before and After


Incredible results and inspiring journeys; see some of our patients' before and after photos next time you visit our practice.


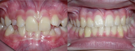
Open Bite: An open bite occurs when the upper anterior (front) teeth do not meet the lower anterior teeth. This can be due to Tongue Thrust, Thumb/Finger Sucking Habits, or Prolonged Pacifier/Bottle use. Crowding: Crowding is a very common reason for people to seek Orthodontic Treatment. Teeth may become rotated, or simply overlap when there is not enough room for them. Deep Bite: A deep bite occurs when the upper teeth cover too much of the lower teeth. Deep Bite: A deep bite occurs when the upper teeth cover too much of the lower teeth. Diastema: A diastema is a gap between the front teeth. Diastema: A diastema is a gap between the front teeth. High Canines: Typically referred to as 'fangs', high canines are when the canines come into the mouth at a much higher level than the rest of the teeth. This can be due to not enough room in the arch at the time of eruption. High Canines: Typically referred to as 'fangs', high canines are when the canines come into the mouth at a much higher level than the rest of the teeth. This can be due to not enough room in the arch at the time of eruption. Impacted Canines: Sometimes teeth become 'stuck' below the gums or are blocked by other teeth. When this occurs they need help to come into the proper place. Cross Bite: A cross bite is when one or more of the top teeth sit behind the bottom teeth. Cross bites can occur in either the anterior (front) or posterior (back) teeth. Surgical Cases: Some orthodontic cases are not able to be corrected with braces alone. We sometimes have to work closely with an Oral Surgeon to help the patient achieve their ideal smile. Surgical Cases: Some orthodontic cases are not able to be corrected with braces alone. We sometimes have to work closely with an Oral Surgeon to help the patient achieve their ideal smile.
 
(732) 516-0052
223 Bridge St Building E
Metuchen, NJ 08840
Monday-Thursday: 9AM-5:30PM
Alternating Thursdays (September-May): 12PM-7PM
Contact Us!
call email